Cas cliniques avant/après
Découvrez nos plus beaux sourires
Parcourez l’expertise et l’impact de nos traitements orthodontiques. Chaque série de photos témoigne d’un parcours unique vers un sourire harmonieux et sain. Des corrections subtiles aux transformations majeures, ces cas reflètent notre engagement envers l’excellence en orthodontie. Découvrez comment le Dr. Antoine Gourdin et son équipe transforment les sourires, et par la même occasion la vie des patients.
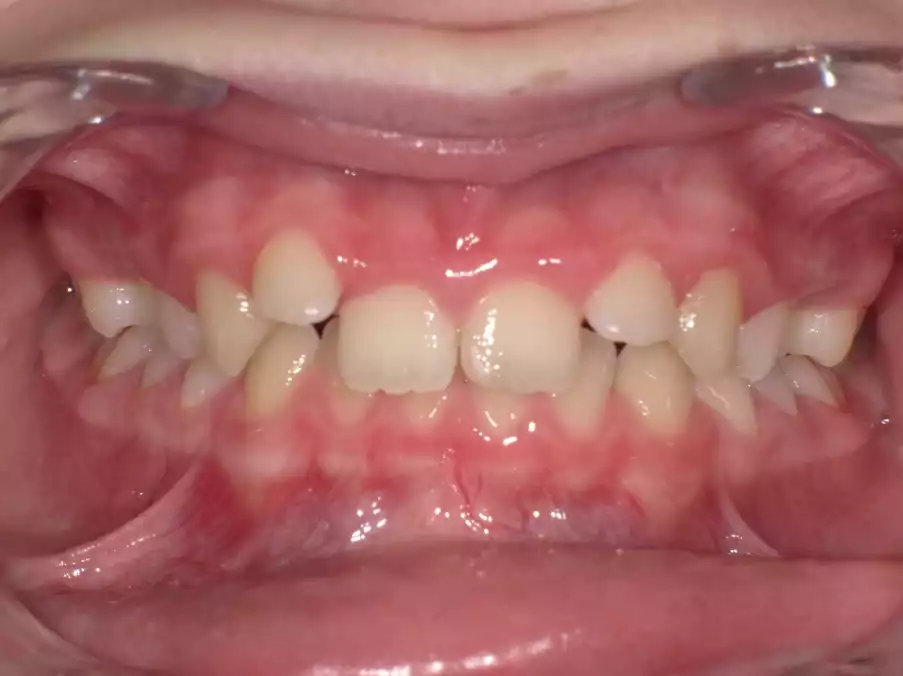
Cas de supraclusion avec incisives non alignées chez l’enfant


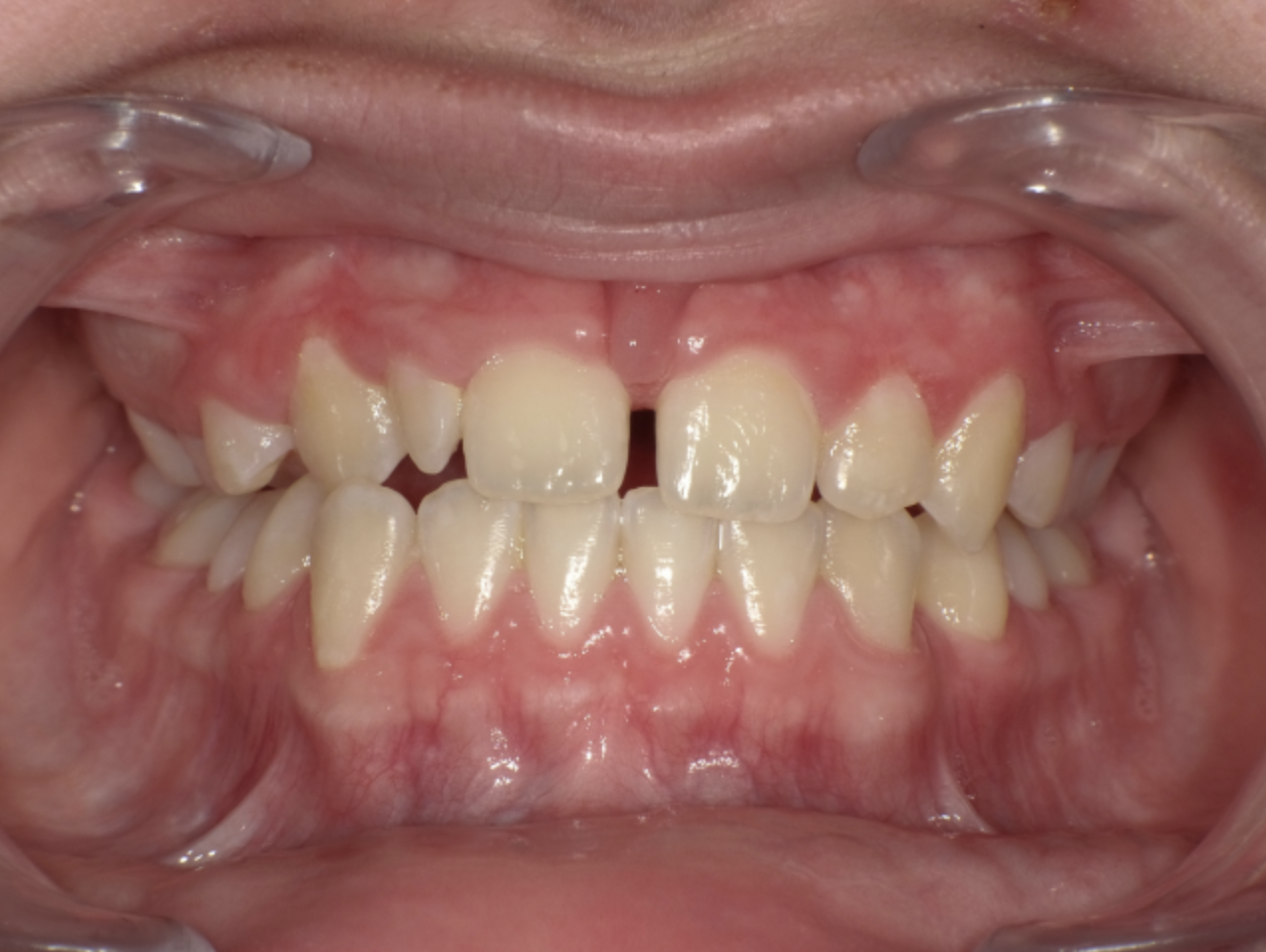
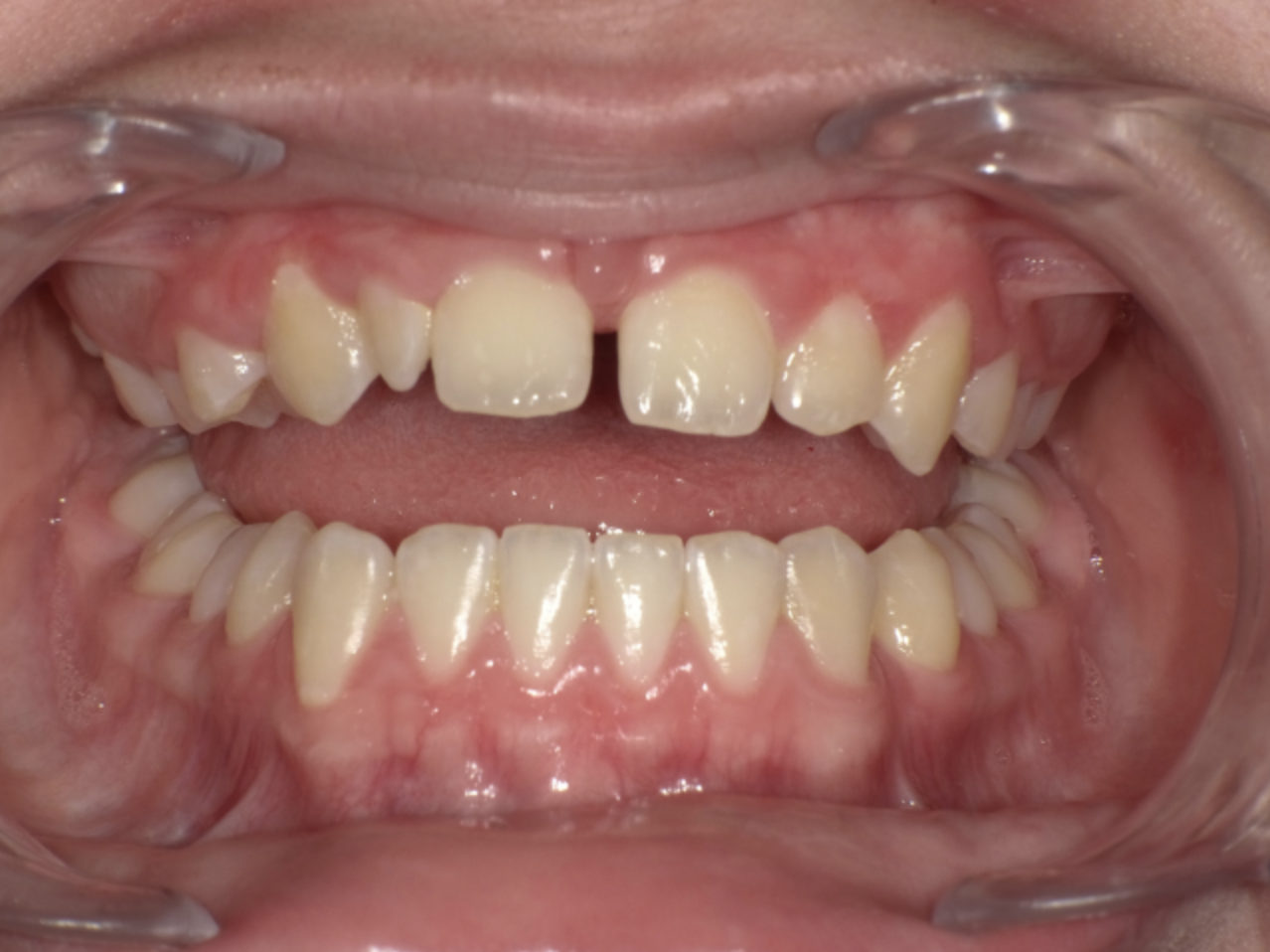
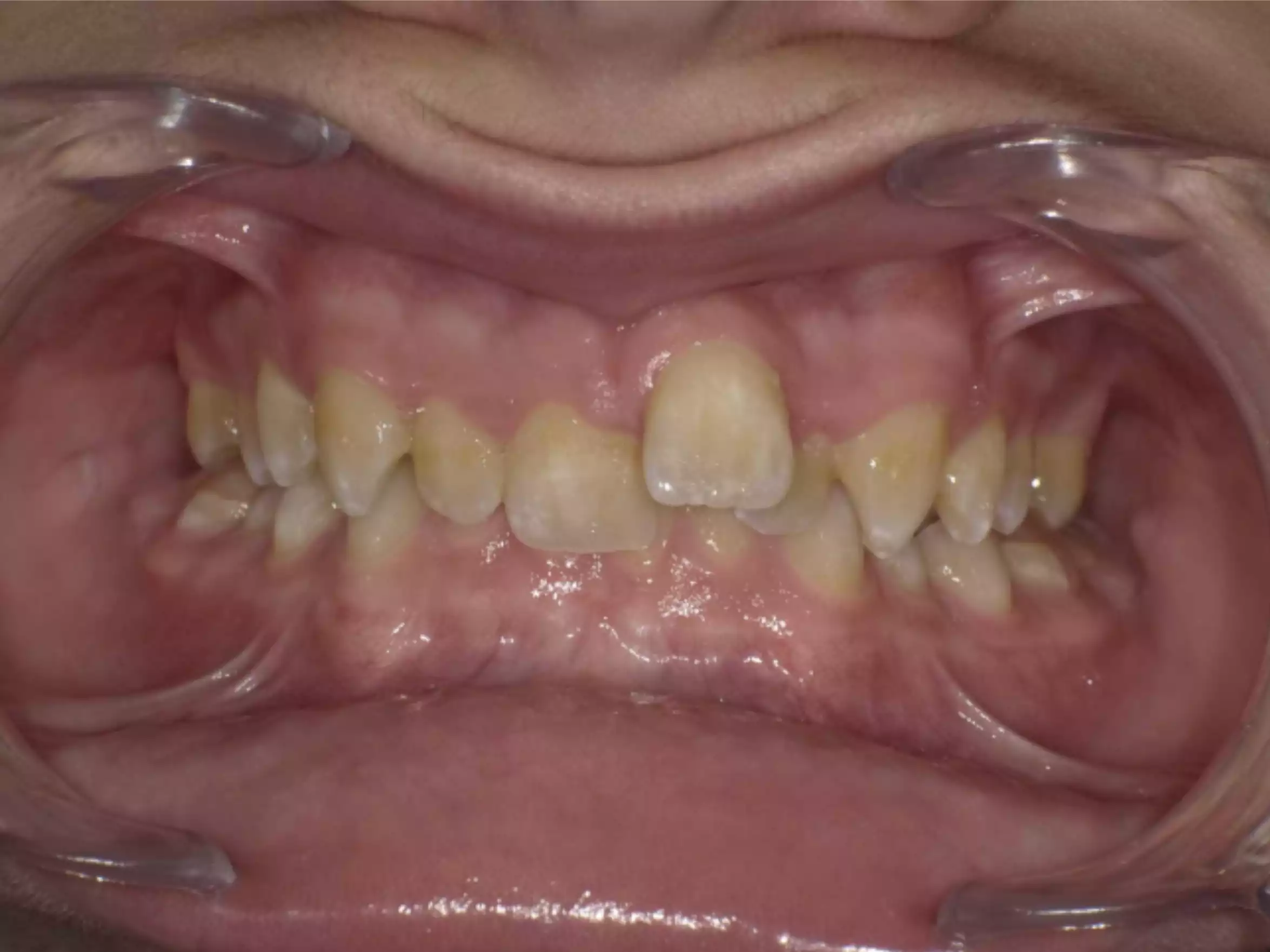
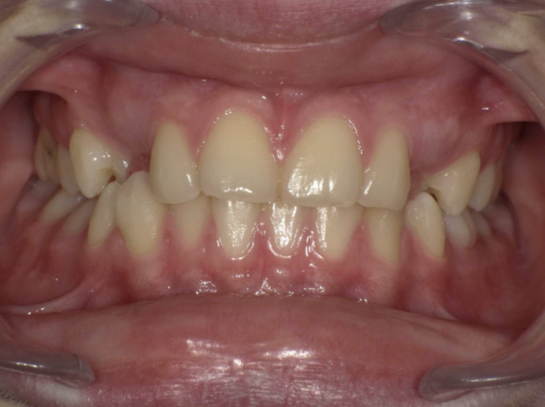
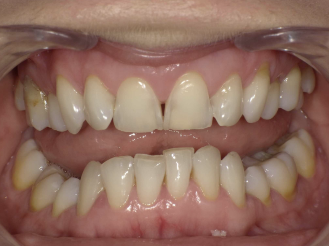
Cas de diastème incisif et canine naine chez l’enfant


Cas d’encombrement haut et bas chez l’adolescent


Cas d’agénésie des canines et supraclusion chez l’adolescent


Prenez rendez-vous avec le docteur Antoine Gourdin
Des soins orthodontiques de haute qualité et une expertise reconnue
Cas de béance légère chez l’adolescent


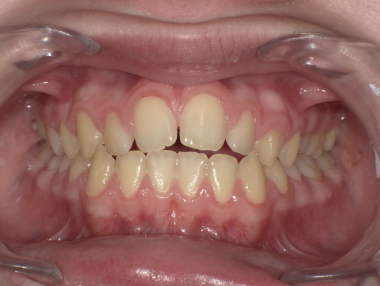
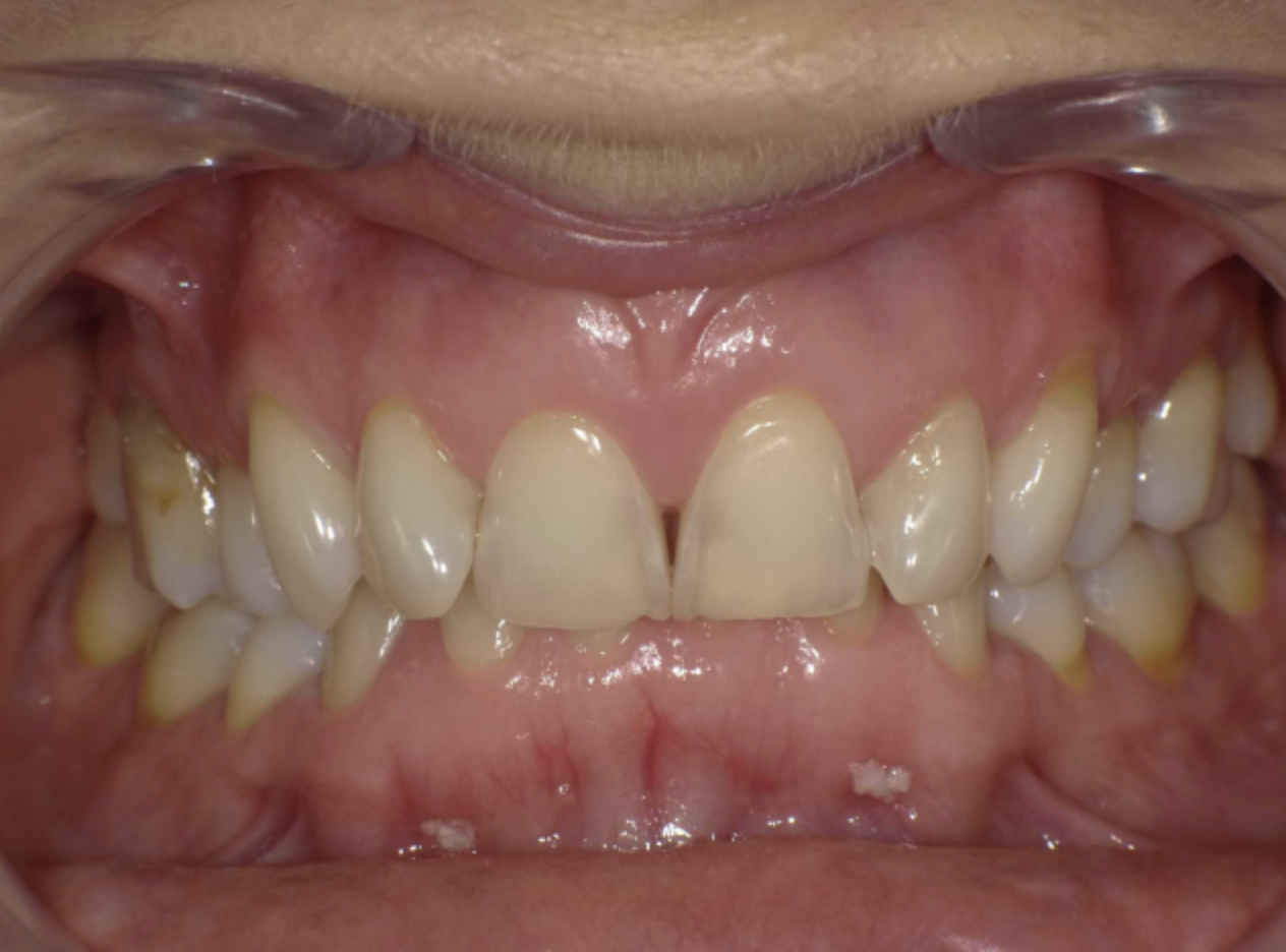
Cas de supraclusion et léger encombrement bas chez l’adulte


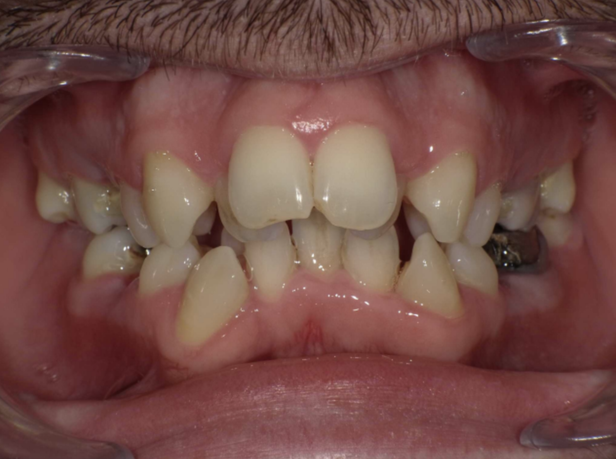
Cas d’encombrement haut et bas des canines chez l’adulte


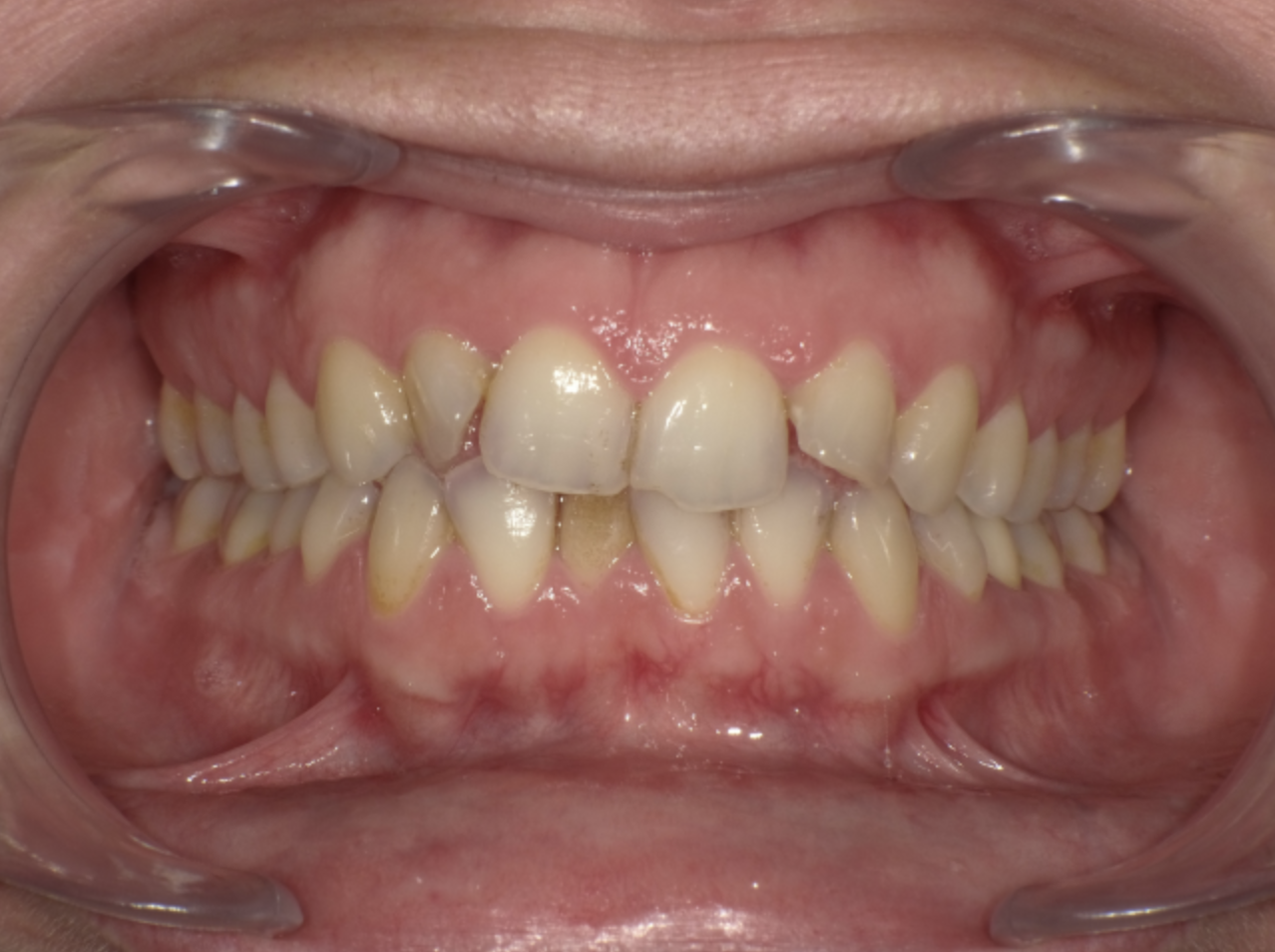
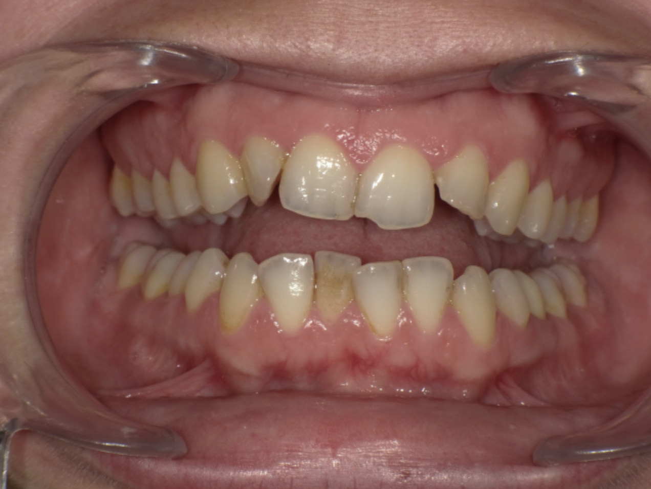
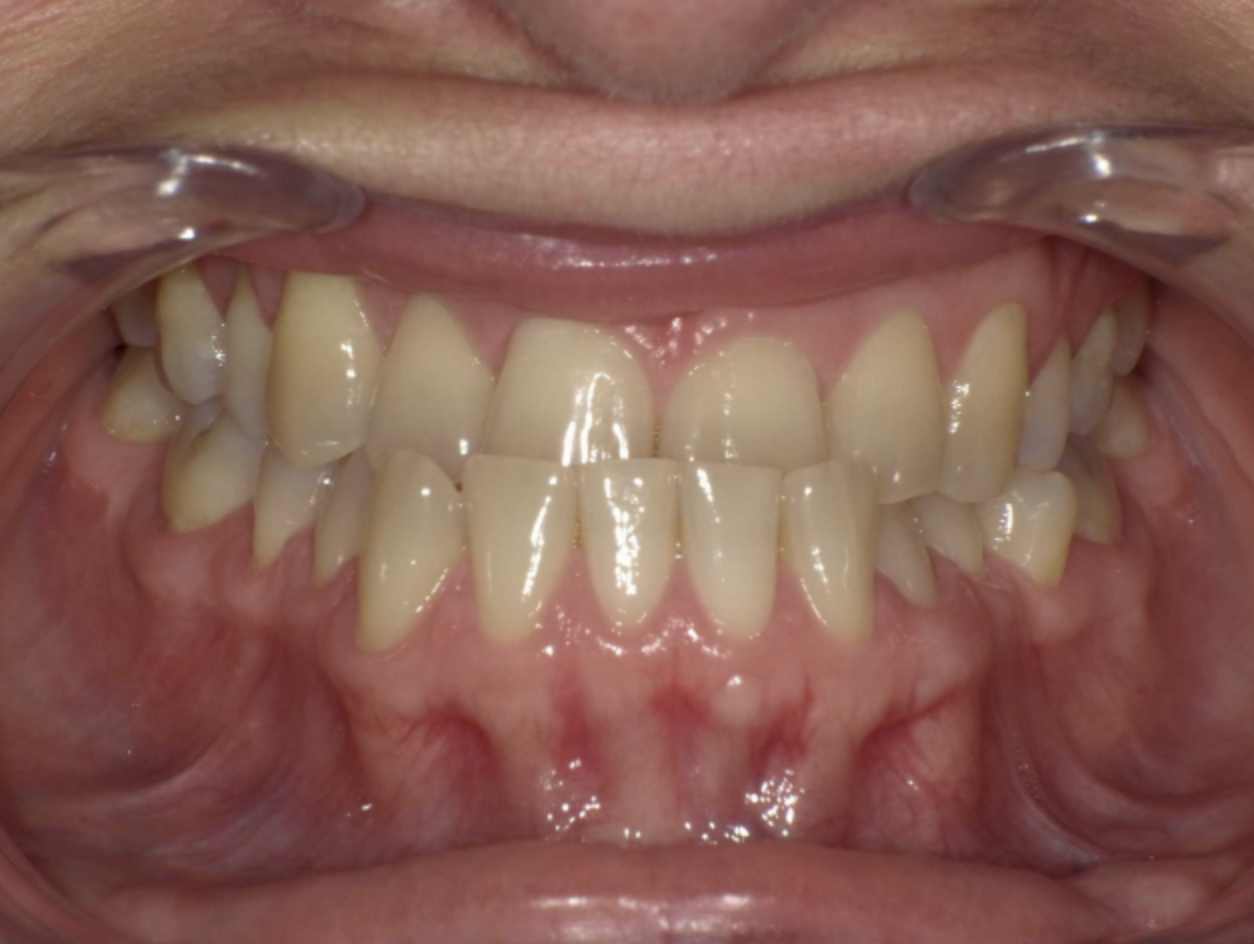
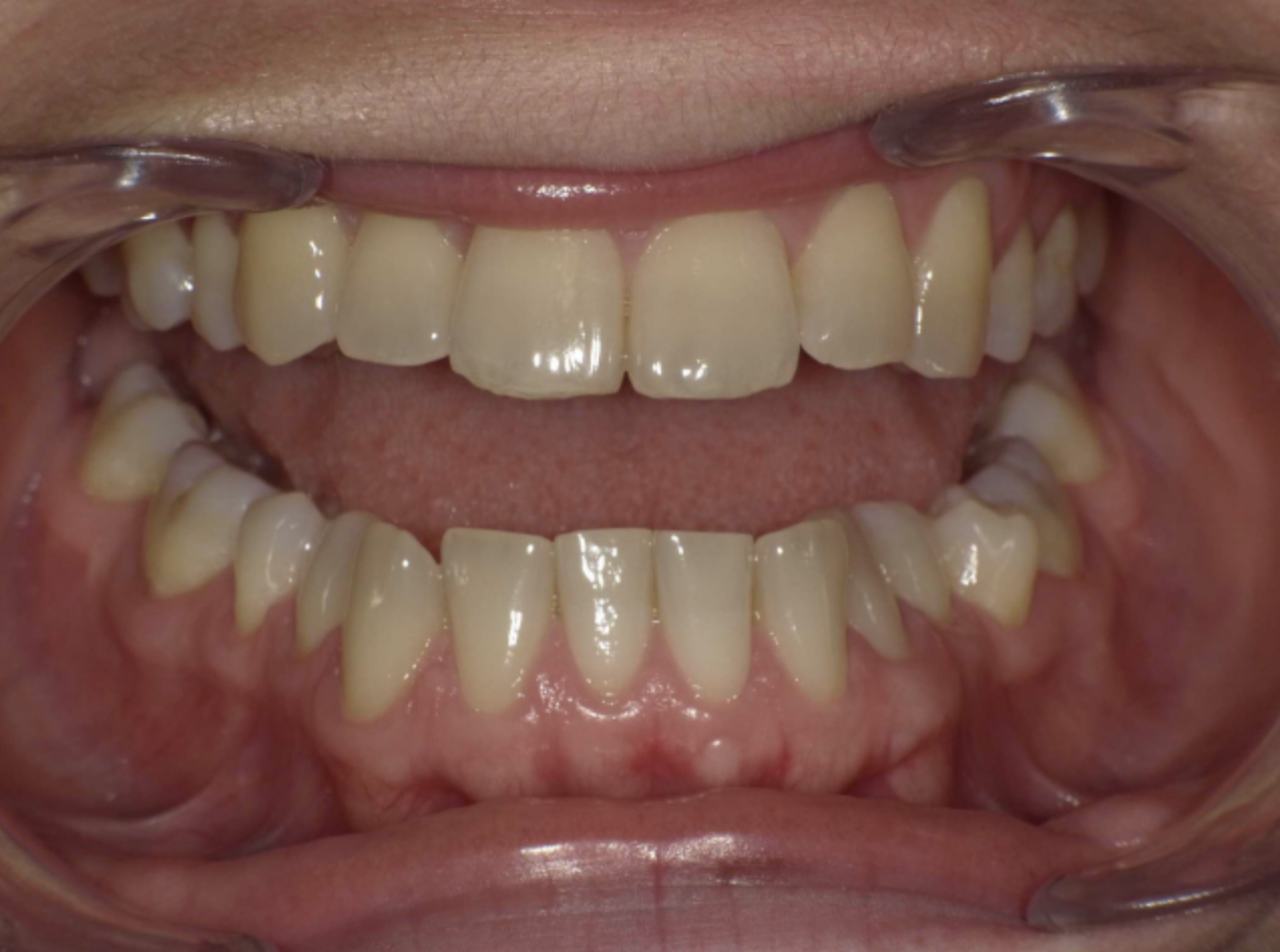
Cas d’encombrement bas et dent grise chez l’adulte


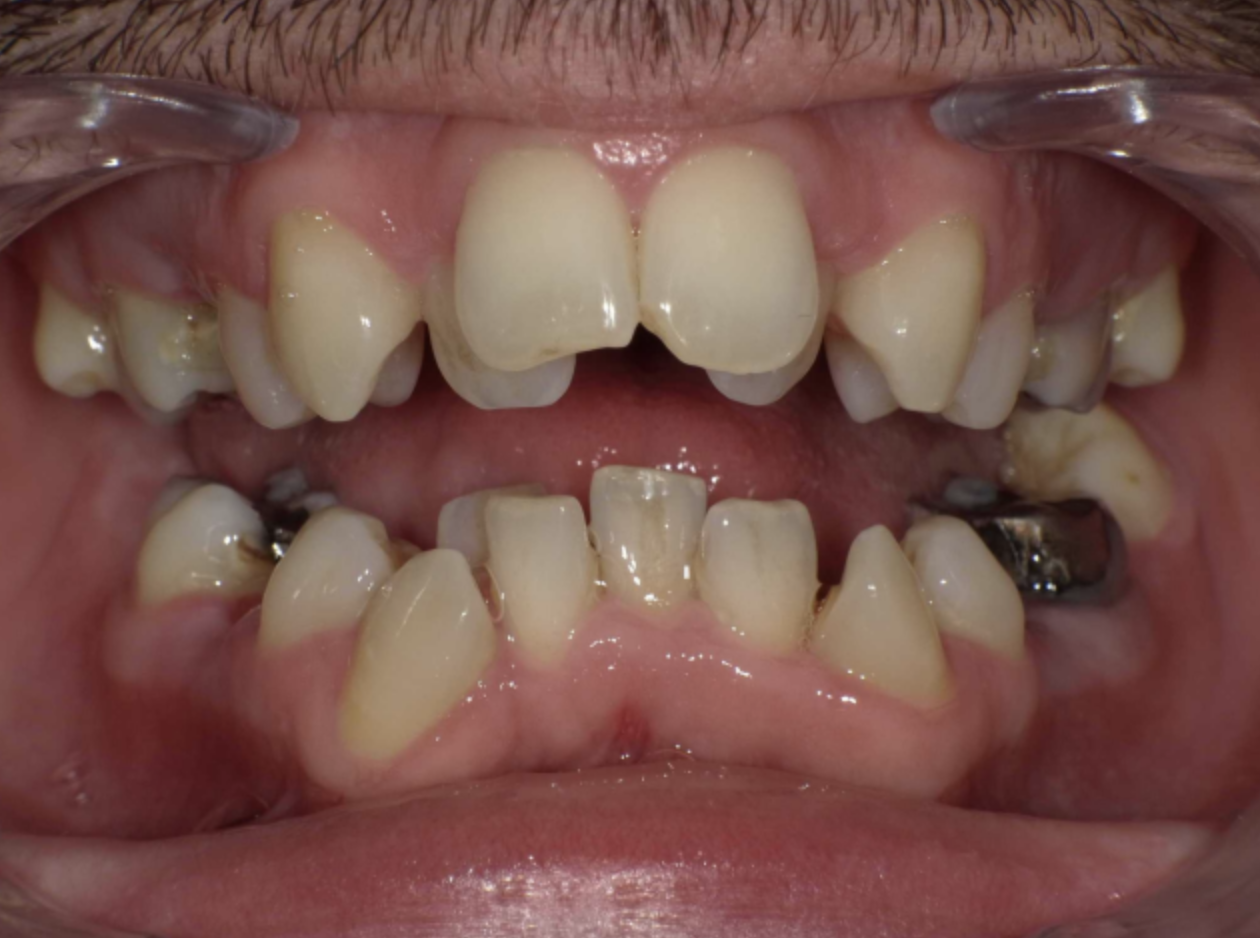
Cas articulé inversé (dents du haut derrière dents du bas) chez l’adulte


